Dental Implant and Ridge Augmentation

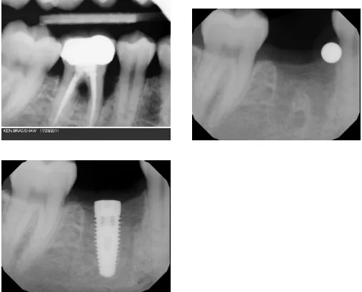
Ridge modification is an effective procedure for treating deformities in the upper and lower jaws.  These deformities can occur as a result of periodontal disease, trauma, injury, wearing dentures, or developmental problems.  Such defects can leave insufficient bone for the placement of dental implants and an additional unattractive indentation in the jaw line adjacent to the missing teeth.

During the ridge modification procedure, the gum is lifted away from the ridge to fully expose the defect in the bone.  The bony defect can be filled with bone graft material which can help regenerate lost bone, or a bone substitute.  Finally, the incision is closed and several months of healing will be required.  Depending on the case and type of implant and procedure, a dental implant may be placed during the ridge modification procedure or when healing is complete; much depends on the precise condition of the bone.  Ridge modification improves the cosmetic appearance, functionality of the mouth, and the chance of enjoying dental implants for many years.


Before & After

Note: Patients depicted in photos have provided their consent to display their pictures online. Results may vary.

READY TO COME IN FOR AN APPOINTMENT?

CONTACT US TODAY!

Our Location

Hours of Operation

Monday:

7:00 am-2:00 pm

Tuesday:

Admin day

Wednesday:

Admin day

Thursday:

7:00 am-2:00 pm

Friday:

7:00 am-2:00 pm

Saturday:

Closed

Sunday:

Closed