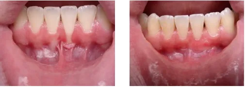
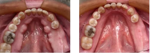
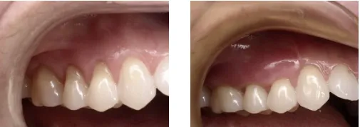
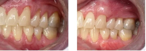
PERIODONTAL PROCEDURES PHOTOS


Before & After

Note: Patients depicted in photos have provided their consent to display their pictures online. Results may vary.

READY TO COME IN FOR AN APPOINTMENT?

CONTACT US TODAY!

Our Location

Hours of Operation

Monday:

7:00 am-2:00 pm

Tuesday:

Admin day

Wednesday:

Admin day

Thursday:

7:00 am-2:00 pm

Friday:

7:00 am-2:00 pm

Saturday:

Closed

Sunday:

Closed